APSB | 谭立课题组与合作者报道新型PLpro抑制剂与RIPK1抑制剂的研制与抗病毒协同疗效
新冠病毒如同流感病毒持续变异并在全球反复流行,其感染引发重症及后遗症的风险仍不容忽视。临床治疗中,靶向新冠病毒RNA聚合酶(RdRp)或主蛋白酶(Mpro)的抗病毒药物仅对轻中度感染有效,且存在病毒突变导致的耐药风险。虽然糖皮质激素与JAK抑制剂在重症治疗中取得部分疗效,但存在患者反应差异及激素相关副作用等局限性。因此,开发更有效的新冠病毒重症治疗策略迫在眉睫。值得注意的是,除Mpro外,类木瓜蛋白酶(PLpro)在病毒复制过程中同样发挥关键作用;而宿主细胞中的RIPK1蛋白激酶不仅能特异性调控感染相关的炎症反应,还可直接促进病毒增殖。这表明PLpro和RIPK1作为治疗靶点在新冠病毒重症干预及耐药性防控方面具有重要开发价值。

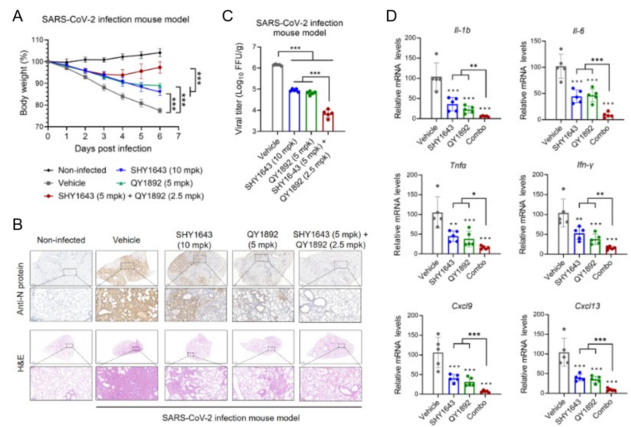
中国科学院上海有机化学研究所生物与化学交叉研究中心谭立、深圳三院张政与合作团队在前期研究中已报道了新型新冠病毒PLpro抑制剂,可有效抑制新冠病毒在宿主细胞中的复制。基于前期围绕抗感染靶标确立的研究发现,团队通过高通量筛选与结构导向设计,研制出具有高活性、高特异性且可透脑的新型RIPK1抑制剂QY1892,该抑制剂在类器官中能高效抑制病毒感染引发的炎症因子释放及病毒复制。同时采用基于点击化学的高通量衍生化策略,优化获得适用于活体研究的新一代PLpro抑制剂SHY1643。在新冠病毒小鼠感染模型中, QY1892与SHY1643均能有效抑制病毒复制与炎症因子释放,且在低剂量联用时表现出显著协同效应,大幅缓解感染导致的重症化与宿主死亡。这些发现为病毒感染性重症的临床治疗进一步确立了具有成药前景的广谱性靶标,同时提供了具有转化前景的新技术与候选新药物。

图1. 新型PLpro抑制剂SHY1643与RIPK1抑制剂QY1892在新冠病毒小鼠重症感染模型中的协同疗效
相关研究论文在线发表于《药学学报》英文刊(Acta Pharmaceutica Sinica B)。单恒悦、周宇筝、秦嬴、郭太杰为该论文的共同第一作者,张政教授、李盈副研究员(袁钧瑛课题组)是这项工作的主要合作者。该项研究得到了科技部重点研发计划、国家自然科学基金、中国科学院、生命过程小分子调控全国重点实验室、上海市科委等多家单位与合作课题组的大力支持。

图2. 病毒PLpro和宿主RIPK1的联合抑制是新冠病毒感染性重症的潜在治疗手段
论文链接:https://www.sciencedirect.com/science/article/pii/S2211383525006276#ack0010
附件下载: